近期,东莞光明眼科医院眼表及干眼科主任黄圣邓医生碰到一位从江西来求医的谢女士,据谢女士描述:她的双眼得了“角膜炎”,在当地及广州深圳各大医院辗转求医近一个月治疗,一直未见好转,现在反而病情加重,已经视不清楚眼前物体,双眼视力仅存0.05...这次来东莞光明眼科医院是有位江西老表来这家眼科医院看过眼病,得知这家医院的医生医术精湛才慕名而来的...“医生,请您一定要救救我,帮帮我治好我的眼睛”谢女士用着急又伴有恐惧的语气如是说。
黄圣邓医生仔细的询问谢女士从刚开始发病情况到外院的治疗经过,认真检查了其眼部情况,发现谢女士是位生意人,发病起初因生意上赶着完成一个项目,加班加点,没日没夜的工作,直到有一天,其双眼感觉到又干又痛,去了当地医院治疗,医生予“结膜炎,角膜炎”治疗了十来天,症状未见明显好转,反而稍有加重;谢女士不放心当地的治疗条件,听说广州深圳的医院治疗技术好,就离开老家奔往广州深圳治疗,治疗近半个月症状还是没见好转,症状加重到眼前物体都看不清。谢女士心急如焚,人生第一次感觉到自己的眼睛再不及时治疗就要瞎了的恐惧...于是跟老表到处打听哪里的眼科医院治疗眼睛技术比较好,就打听到了东莞光明眼科医院。
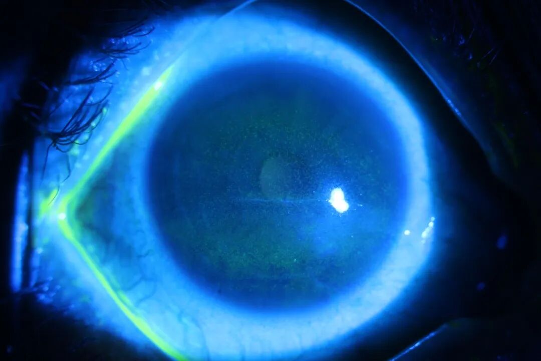
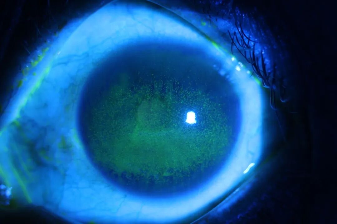
黄圣邓医生详细的为谢女士检查眼部情况,发现其眼部眼表炎症非常严重,角膜上皮弥漫性糜烂,角膜浅层浸润水肿已呈现半透明状态,眼睑睑板腺开口有大量的黄色脂质栓塞,泪液分泌实验几乎为零,再行眼表分析仪辅助检查见睑板腺成形良好,查螨虫阴性,黄圣邓医生再次询问谢女士有无全身免疫系统方面疾病,得到否定后,就胸有成竹的对谢女士说:他非常有信心医治她的眼病,让谢女士一定要相信他。
左眼检查图

右眼检查图

睑板腺堵塞检查图

黄圣邓医生告诉谢女士:其眼睛的病一直没好转,并不断恶化,是因为谢女士得的是睑板腺堵塞引起睑板腺功能障碍相关干眼症,早期诊治如果不注意解除睑板腺堵塞,病情就难于好转,且会进入一个恶性循环,使病情越来越严重,角膜上皮糜烂,组织水肿致视力几乎盲就是很严重的表现...
黄圣邓医生还详细的把其治疗方案告诉谢女士:由于当前谢女士眼睛炎症比较严重,角膜上皮广泛糜烂,暂不宜行干眼方面的治疗,先用药物控制住眼表炎症,待角膜上皮修复好后再进行干眼方面治疗,病情就会好起来的。
谢女士听了非常激动握住黄医生的手高兴的说“医生,那太谢谢您了,我的眼睛终于有救了”...于是经过一个半月黄医生的精心治疗,谢女士的眼睛已经慢慢好起来,双眼视力从0.05恢复到1.0,眼睛也不干不痛了...
黄圣邓医生介绍说:干眼症是一种多种因素引起眼表泪液缺乏或蒸发过快,起不到滋润和保护眼睛致眼表慢性炎症疾病,这种起因假如不及时治疗去除,疾病就进入一个恶性循环,病情就会不断加重;随着智能时代的到来,人们生活不时不刻的应用接触电子产品等等,这些生活习惯以及环境的改变,人们普遍越来越容易得干眼症。
经常熬夜或睡眠质量差的人群;
每天使用电子产品四小时以上的人群;
眼睛局部自买眼药水滴用三个月以上人群;
经常化眼妆人群;
佩戴隐形眼镜一年以上人群。
以上高危人群假如有以下常见症状,那可能就得了干眼症了:
1.眼球红血丝多;
2.眼睛干涩,很容易视疲劳;
3.眼睛怕光,害怕看到各种光线;
4.眼睛经常酸痛发胀;
5.经常有异物感;
6.眼角经常有分泌物;
7.视力波动,时好时差,严重时视力模糊减退;
8.迎风流泪,眼角有多余的泪水流出来。
最后,黄圣邓医生还说:得了干眼症并不可怕,它是一种慢性眼表疾病,不是绝症,并不像热播剧《狂飙》里高启强为了见到老婆谎称自己得的“绝症”干眼症。
在他干眼科看过的众多干眼患者中,可以分为两类:
一类是与生活习惯相关的干眼症,这类干眼症比较好治疗,经过正确的干眼治疗,患者平时再注意纠正自己不良生活习惯,干眼症是可以治好的,但因与生活习惯相关,所以此类干眼容易复发,就需要患者复发时按时到干眼专科做精准治疗.
另一类是由全身疾病引起的,也称难治性干眼症,得了黄医生说也不可怕,只要给患者树立治疗信心,恒心,耐心,让其坚持用药物控制全身疾病的同时,眼部也要按时来干眼专科门诊定时治疗,还是能保护好其视力,使其能正常生活的。
本期专家介绍

黄圣邓
干眼病专科主任、角膜病专科主任
擅 长:干眼症、结膜炎、角膜病和眼表疾病的诊治,角膜移植、眼睑整形、眼表重建、胬肉切除等手术。对诊治干眼症、角膜炎、角膜溃疡、化学伤等具有较丰富的临床经验,特别擅于对轻、中、重度干眼症进行个体化综合治疗。





