每个孩子都是活泼好动的小精灵
家长很难每分每秒都陪在身边
最令人担心的
就是哪里伤到磕到
尤其像眼睛这种敏感的器官
更是重点保护对象

近日
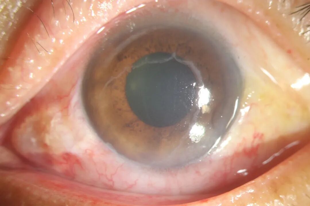
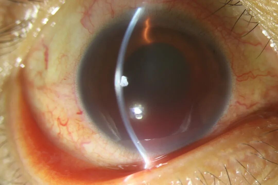
被剪刀划伤的小文(化名)
因事发多日后才来光明眼科就诊
伤情较为严重
▲来医院就诊时的眼睛外观图(左滑查看)
▲手术伤口缝线(左滑查看)
“孩子是自己玩耍的时候不小心划到了。”
“当时哭了一下,眼睛看上去没啥事。”
“后面几天不哭不闹,也没有说痛,我们也就没在意。”
“直到发现眼睛怎么一坨白白的才过来看。”
接诊医生廉庆博士表示,小文这种情况是眼球挫伤,受伤后没有第一时间前来处理,拖了三天导致病情恶化,对视力造成了很大的影响。

廉庆博士提醒:许多孩子受伤后因害怕家长的指责,会选择隐瞒伤情。家长要留意孩子是否出现一些与平时行为习惯不符的现象,是否受了外伤。
眼外伤发生后一定不要盲目治疗,请及时前往专业的眼科医院就诊,否则可能对眼睛造成更严重的伤害。


眼睑皮肤浅薄,皮下组织疏松,血管丰富。眼睑受到钝性物体打击或锐器割伤时,会诱发眼睑出血、水肿。严重时,会造成眼睑皮肤全层裂伤,甚至伤及肌肉层、睑板和睑结膜,引起上睑下垂、泪小管断裂等。
紧急处理方式:患者用干净的纱布覆盖伤口,轻微压力止血,然后尽快前往专业的眼科医院进行就诊。
(左滑查看图片)
这是比较常见的眼外伤。如刮风或户外活动时,经常会发生异物进入眼内,导致结膜或角膜被擦伤。患者会出现流泪、异物感等症状。
紧急处理方式:拉起上眼皮,让异物随着眼泪流出。也可以用抗生素眼药水或生理盐水冲洗眼睛。切勿用嘴吹、揉搓眼睛或用纸巾、手帕将异物擦除,这会加重感染,甚至诱发化脓性角膜溃疡,应及时前往专业的眼科医院进行就诊。
眼球挫伤是指眼球受到钝性外力击伤眼球,但未发生眼球破裂。由于眼球是一个不易压缩的球体,所以外力撞击会在眼球内传递,引发多处间接损伤,如眼内积血、晶状体脱位、视网膜脱落等。
紧急处理方式:尽量减少眼球转动和摩擦,并及时前往专业的眼科医院进行就诊。
(左滑查看图片)
眼球穿通伤是指眼球被锐器或高速射出的异物碎屑穿破眼球壁,可引起眼内感染、眼球内容物脱出、交感性眼炎,严重者导致失明。
紧急处理方式:意外发生后,不可轻易擦拭血迹或拿掉致伤物,用干净的纱布进行简单包扎后立即前往专业的眼科医院进行就诊,应尽量避免颠簸。
(左滑查看图片)
电光性眼炎是因为眼睛的角膜上皮细胞和结膜短时间内吸收大量而强烈的紫外线所引起的急性炎症反应。常见于冰雪、沙漠、广阔的水面,或电焊、热切割作业等场景。患者眼睛会出现灼烧感、疼痛感,伴随畏光、流泪、眼睑痉挛、眼睑及面部皮肤潮红等症状。
紧急处理方式:患者应冷敷眼部,闭目休息,减少光的刺激,外出需戴墨镜或防护眼镜。如症状无法缓解,请及时前往专业的眼科医院进行就诊。
(左滑查看图片)
眼部化学伤主要是由强酸(硫酸、硝酸、盐酸等)、强碱(石灰、稀氨溶液水、氢氧化钠等)的溶液,粉尘或气体等接触眼部而发生,可导致眼睛感染、角膜灼伤,甚至失明。
紧急处理方式:患者应立即用清水持续冲洗眼睛至少30分钟,并且立即前往专业的眼科医院就诊。
(左滑查看图片)
烟花爆竹炸到或弹到眼睛,会导致眼睑皮肤受损、眼睑下垂、眼球损伤,严重者会导致眼球破裂、眼内异物、视网膜脱落、眼内炎等,甚至是失明。
紧急处理方式:当眼睛被烟花爆竹炸伤时,按、压、揉、碰等行为都会对眼睛造成进一步的伤害,患者应用干净的纱布覆盖眼睛,然后前往专业的眼科医院进行就诊。
廉 庆
主治医师 医科学博士
























