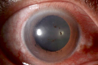
01 患者故事 今年年初,莫先生感觉自己右眼视力下降,看东西有黑影遮挡,去药店购买了眼药水使用,却丝毫没有缓解,甚至症状加重,伴随眼痛、眼红等。为了查清病因,莫先生来到东莞光明眼科医院就诊。 根据检查结果显示,莫先生右眼视力仅有0.2,左眼视力为1.0;右眼眼压升高到34mmHg,左眼眼压正常,为15mmHg。右眼红,角膜水肿,眼球从前到后都出现了严重的发炎表现,眼底可见黄白色的寄生虫炎症病灶。 ▲眼底可见黄白色的寄生虫炎症病灶 为了进一步弄清炎症来源,对症下药,在眼底病诊疗中心副主任李雁博士的建议下,莫先生进行了“右眼前房穿刺取材术”,终于从送检结果中发现了病症根源——刚地弓形虫。 据悉,莫先生很疼爱家中的宠物猫,睡觉都要带着一起,前段时间感冒了,抵抗力有点低下,怀疑是撸猫的时候感染的。 根据莫先生的情况,在排除全身寄生虫感染后,李雁主任为其做了抗炎、抗寄生虫的治疗,经过系列治疗,莫先生病情好转。 ▲治疗前 ▲治疗后 02 科普时间 1 什么是弓形虫? 弓形虫,是一种细胞内寄生虫,主要通过未煮熟的肉类、污水和粪便传播。在普通人群中,感染弓形虫,可能就是流感样症状,无需治疗即可消退。但是在一些特殊情况,比如免疫力低下的时候,弓形虫可破坏大脑、心脏、眼睛。刚地弓形虫感染可以表现为急性全身感染或眼部疾病(例如后葡萄膜炎)。 弓形虫可以寄生于人或动物体内,它的中间宿主有很多,但猫及猫科动物是弓形虫的终末宿主,弓形虫可在其体内完成有性繁殖,弓形虫卵囊随粪便排出体外,并具有感染性,猫是弓形虫的主要传染源。所以各位爱宠人士,要谨慎吸宠哦! 2 为什么会感染弓形虫? 人感染弓形虫可分为先天性和获得性。先天性指胎儿在母体经胎盘血感染,危害性最大;获得性为出生后被外界感染,获得性感染途径主要有: 3 弓形虫对人体有什么危害? 1. 健康人群:多数人的弓形虫感染为隐性感染,没有明显的临床表现,部分感染者可能出现低热、头痛、浅表淋巴结肿大等,偶见肺炎、胸膜炎、心肌炎; ? Q&A ? Q1 眼睛被弓形虫感染了怎么办? 若出现眼睛视力下降、异物感、眼痛、眼红等症状,应及时就医,切勿自行处理,前往专业眼科医院做细致检查,对症下药。 Q2 生活中应该注意些什么? 注意饮食卫生。肉类要充分煮熟,生熟案板、器具分开,不喝未经巴氏灭菌或高温消毒的奶制品,不喝生水,蔬果在食用前需彻底清洗。 做好宠物管理。宠物应家养,不要散养,不喂食生肉及未经消毒的乳制品,家猫粪便及时清理(孕妇和免疫力低下者不要清理猫砂盆),定期消毒,去正规宠物医院做弓形虫检测。 注意个人卫生。饭前便后勤洗手,接触宠物后及时清理手部,不要揉眼睛。 孕妇需注意预防。不要接触外界流浪猫,在孕前、孕早期进行弓形虫特异性抗体检测。 医生介绍




